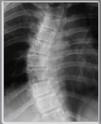
ANGULO DE COBB